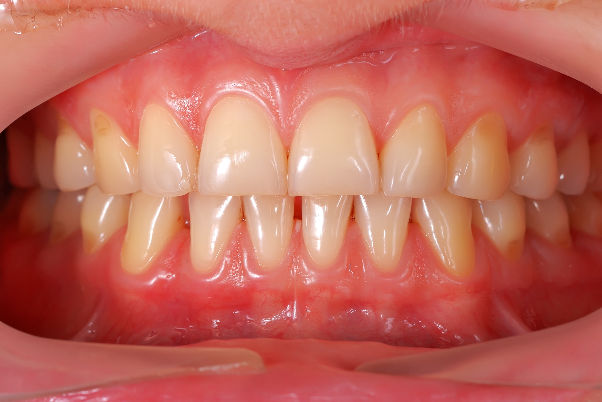
교정 중 잇몸 내려앉음? 이유부터 해결책까지 총정리!
치아 교정 중 잇몸이 내려앉아 고민이신가요? 단순한 미용 문제를 넘어서 구강 건강 전반에 영향을 줄 수 있는 증상이 바로 잇몸 퇴축입니다. 오늘은 그 원인과 예방법, 치료법, 도움이 되는 제품까지 한번에 살펴봅니다.
잇몸이 왜 내려앉을까? 주요 원인 3가지
- 과도한 칫솔질 압력: 너무 세게 닦거나 거친 칫솔모 사용 시 잇몸 손상 유발
- 교정 장치로 인한 잇몸 자극: 브래킷과 철사 주변 염증이 잇몸을 약하게 만듭니다
- 잇몸 염증 방치: 초기 잇몸 질환을 방치할 경우 퇴축으로 이어질 수 있습니다

잇몸 퇴축의 전형적인 증상
다음과 같은 증상이 보인다면 잇몸이 내려앉고 있을 가능성이 높습니다:
- 치아가 평소보다 더 길어 보인다
- 양치 중 출혈 또는 시림 증상
- 치간 음식물 끼임, 입 냄새 증가
예방을 위한 올바른 구강 습관
잇몸이 내려앉는 것을 예방하려면 생활 습관 개선이 우선입니다.
- 부드러운 칫솔과 잇몸 친화적인 치약 사용
- 칫솔은 3개월마다 교체하고, 45도 각도로 부드럽게 양치하기
- 치간칫솔, 치실로 플라그 제거

치료는 어떻게 진행될까?
이미 잇몸 퇴축이 시작됐다면 다음과 같은 치료가 필요합니다.
- 스케일링 및 치근면활택술: 잇몸 염증 제거와 회복 유도
- 잇몸 이식 수술: 심한 경우 치근부 노출 부위를 복원
잇몸에 좋은 영양소와 제품 추천
내부 건강도 중요합니다. 영양제 섭취로 잇몸 회복을 도울 수 있습니다.
| 영양성분 | 효과 |
|---|---|
| 비타민 C | 잇몸 조직 회복, 콜라겐 합성 |
| 칼슘 & 비타민 D | 치아 지지 뼈 강화 |
| 아연 & 프로폴리스 | 염증 완화, 면역력 향상 |
잇몸 건강에 도움되는 제품 2선
덴티에센셜과 덴시티아는 실제 사용자들 사이에서도 호평받는 제품입니다.
- 덴티에센셜: 자일리톨, 녹차 추출물 포함. 충치 예방과 항산화 효과
- 덴시티아: 미네랄 복합 설계로 치주 질환 예방에 도움
교정 중 잇몸 보호를 위한 팁
교정 중이라면 구강 관리에 특히 더 신경 써야 합니다.
- 식사 후 전용 칫솔로 브래킷 주변 꼼꼼히 세척
- 단단하고 끈적한 음식은 피하기
- 정기적인 치과 방문으로 잇몸 상태 체크

마무리하며
잇몸 내려앉음은 방치하면 되돌리기 어렵습니다. 평소 올바른 양치 습관, 균형 잡힌 식단, 영양제 섭취와 정기 검진을 통해 건강한 잇몸을 지켜주세요. 예쁜 치아만큼이나 튼튼한 잇몸도 자신감 있는 미소의 필수 조건입니다!
2025 개인택시 양수교육 신청부터 수료까지 완벽 정리
🚖 2025 개인택시 양수교육 신청부터 수료까지 한눈에!개인택시 면허 양수를 준비 중이신가요? 2025년에는 양수교육 이수가 필수입니다. 이 글에서는 교육 자격 조건부터 접수 방법, 비용, 수료
todghkf.dkfwkcjdsus2030.com
부산 출발 대마도 당일치기 여행 완벽 가이드 (2025 최신판)
⛴️ 부산 출발 대마도 당일치기 여행 가이드 (2025 최신판)하루 만에 떠나는 일본 여행! 대마도 당일치기는 시간과 비용을 아끼며 이국적인 풍경을 즐길 수 있는 최고의 선택입니다.부산에서 출
todghkf.dkfwkcjdsus2030.com
학생폰·효도폰으로 딱! 갤럭시 A36 완벽 가이드
📱 갤럭시 A36 스펙 전격 비교 가이드2025년 출시 예정인 갤럭시 A36은 가성비와 디자인, 성능, AI 기능까지 모두 갖춘 스마트폰으로 주목받고 있어요. 특히 학생폰이나 효도폰을 찾는 분들께 추천
todghkf.dkfwkcjdsus2030.com
'요즘 뭐하니' 카테고리의 다른 글
| 지하철 테러인가, 분노의 폭발인가? 5호선 방화 사건 재조명 (2) | 2025.06.28 |
|---|---|
| 다이어트에 진심이라면? 그릭요거트 완전정복 가이드! (2) | 2025.06.27 |
| 2025 개인택시 양수교육 신청부터 수료까지 완벽 정리 (4) | 2025.06.26 |
| 크론병 초기 증상 6가지와 진단·관리법 총정리 (1) | 2025.06.26 |
| 2025 울릉도 배편 예약 완벽 가이드! 항구별 비교부터 할인 꿀팁까지 (0) | 2025.06.25 |
